
Nakłanianie dziecka w wieku 4 czy 5 lat do nauki pisania literek i cyferek w zeszycie to ogromny błąd. Specjalistki na Instagramie zauważyły, że taka praktyka szkodzi zdrowiu dziecka i to w dużym stopniu. Zamiast zmuszać malucha do pisania, ćwicz jego sensorykę i pokaż mu zabawy na poznawanie liter i cyfr.
REKLAMA
Oto co robimy naszym dzieciom od najmłodszych lat
Na problem zmuszania dzieci do pisania zwróciła uwagę na swoim "stories" na Instagramie blogerka nebule_pl, czyli Ania Trawka-pedagog, logopeda. Prowadzi ona konto na Instagramie typowo parentingowe i pełne wiedzy ze swojej dziedziny, czyli pedagogiki i logopedii. Zaraz za nią temat poruszyła też inna specjalistka, tym razem pediatra - Ewa Miśko-Wąsowska, znana na Instagramie jako dr_misko.Obie panie zauważyły, jak wiele złego swoim dzieciom wyrządzają sami rodzice, bo opieka przedszkolna doskonale wie, że dzieciom np. 3-letnim nie powinno się dawać do ręki ołówka i zeszytu, by samo pisało literki w równych liniach. Jeśli taka praktyka zdarza się jednak w przedszkolu, być może ma jakiś cel i zanim zdecyduje się kategorycznie na zmianę przedszkola, warto porozmawiać o swoich wątpliwościach z paniami wychowawczyniami czy dyrektorem.
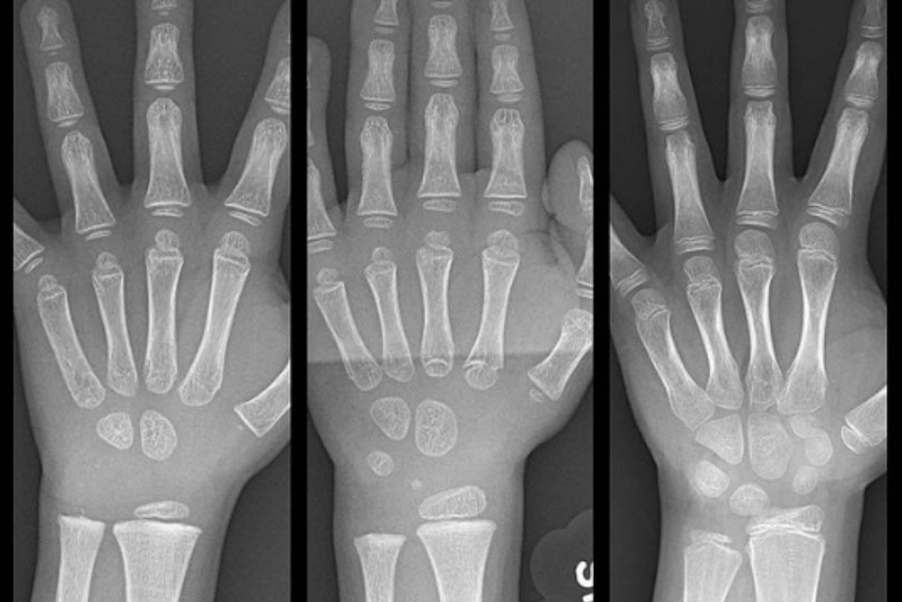
Niesamowite zdjęcia rozwoju dłoni dziecka
Na zdjęciach pokazanych na Instagramie, obie specjalistki zwracają uwagę na to, że możemy tam zobaczyć, jak zmienia się rozwój kości w dłoniach malucha w wieku 3, 4 i 8 lat. Im mniej rozwinięta ręka, tym kostnienie chrząstek jest mniejsze. Proces ten u dziecka powinien następować latami, a nie tak, jak jest to widoczne na zdjęciu w ciągu kilku krótkich lat, gdy dziecko już od 3. roku życia trzymało w ręku długopis i pisało znaczki w zeszycie.Dzieci przed 4.-5. rokiem życia nie są zdolne do poprawnego trzymania ołówka czy długopisu, nie mają siły w ciele, by odpowiednio naciskać narzędzia piśmiennicze. I przede wszystkim – w tym wieku należy postawić na jego rozwój motoryki dużej, czyli całego ciała, a nie skupiać się na palcach i dłoniach (czyli motoryce małej).
Dzięki ćwiczeniom na centralną stabilizację ciała wzmocni się u dziecka wszystko to, co potrzebne maluchowi będzie wtedy, gdy naprawdę nadejdzie czas pisania literek i cyferek. Przedtem warto by dziecko dużo malowało (nie tylko kredkami, również farbami i pędzelkiem czy dłońmi, ćwiczyło ręce i paluszki podczas układania różnych elementów, przekładania koralików, układania klocków czy zabawie z masami plastycznymi.
Kiedy dziecko może rozpocząć pisanie i jak je przygotować
Aby dziecko mogło rozpocząć naukę pisania literek i cyferek, jego rączka musi być wcześniej wyćwiczona i maluch musi być gotowy do tego w zakresie dużej motoryki. By go do tego przygotować, tak jak pisaliśmy powyżej, warto dbać o jego sensorykę, stabilizację obręczy barkowej, siłę i wytrzymałość i o stabilizację całego ciała. To nie powinno wyglądać tak, że panie już w grupach 3-latków dają dzieciom do rąk zeszyty i ołówki by dzieci coś pisały.To etap, który powinien nastąpić dopiero po długim przygotowywaniu dziecka w wieku przedszkolnym – rysowaniu, klejeniu, wycinaniu, tworzeniu z ciastoliny i plasteliny. Taki moment zwykle następuje u dzieci w wieku 4-5 lat i jest w pełni naturalny. Warto jednak do nauki ich wykorzystać inne sposoby: zapisywanie dużych rozmiarem znaków np. na tablicy kredowej czy dużych kartonach.
Dobre jest też wyklejanie plasteliną kształtów literek i cyfr, nauka poprzez zabawę z różnymi kartami, memory, grami planszowymi czy nawet pisaniu paluszkiem po piasku. W tym szkodzeniu dziecku najbardziej chodzi o to tradycyjne trzymanie długopisu czy ołówka i stawianiu w skupieniu znaczków w tzw. małej liniaturze.
Może cię zainteresować także: 11 niestandardowych zabaw, które przygotują Twoje dziecko do nauki pisania
