
Czasem na szczęście diagnozy się nie sprawdzają. Ten przypadek był jednak zaskakujący.
REKLAMA
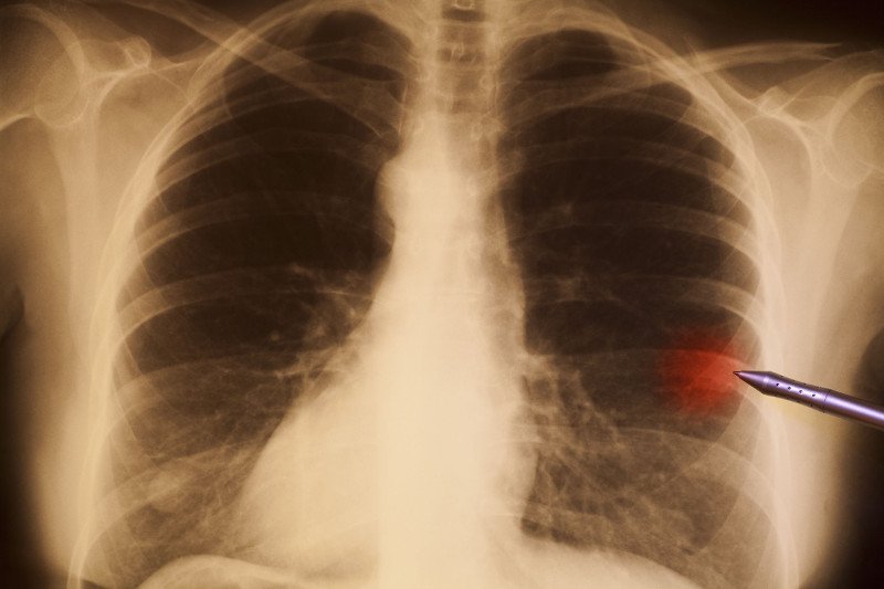
Zaskakujący wynik bronchoskopii
47-latek zmagał się z uporczywym kaszlem. Ponieważ był nałogowym palaczem, udał się do lekarza, by znaleźć powód złego samopoczucia. Po wykonaniu prześwietlenia odkryto dziwny cień na jednym z płatów. Niestety diagnoza wstrząsnęła mężczyzną. Rak płuc zabrzmiał jak wyrok.
47-latek zmagał się z uporczywym kaszlem. Ponieważ był nałogowym palaczem, udał się do lekarza, by znaleźć powód złego samopoczucia. Po wykonaniu prześwietlenia odkryto dziwny cień na jednym z płatów. Niestety diagnoza wstrząsnęła mężczyzną. Rak płuc zabrzmiał jak wyrok.
Mężczyznę skierowano na dodatkowe badania. W czasie bronchoskopii, czyli wziernikowego badania dróg oddechowych znaleziono rzeczywistą przyczynę złego samopoczucia pacjenta. Trudno było powstrzymać śmiech i ukryć zdziwienie, gdy odkryto w drogach oddechowych zabawkę Playmobile, którą połknął 40 lat wcześniej. Mężczyzna przyznał, że gdy był małym chłopcem, zdarzało mu się czasem połykać drobne przedmioty, nigdy jednak z tego powodu nie miał problemów medycznych.
Pachołek drogowy
Lekarze byli zaskoczeni, że ciało obce nie dawało żadnych poważnych oznak przez tyle lat. W czasie operacji usunięto zbędny przedmiot, a był nim mały pachołek drogowy. Dziś może on być niezwykłą pamiątką dla mężczyzny, który na szczęście okazał się zupełnie zdrowy. Może jednak powinien przestać palić i wziąć na poważnie ostrzeżenie.
Lekarze byli zaskoczeni, że ciało obce nie dawało żadnych poważnych oznak przez tyle lat. W czasie operacji usunięto zbędny przedmiot, a był nim mały pachołek drogowy. Dziś może on być niezwykłą pamiątką dla mężczyzny, który na szczęście okazał się zupełnie zdrowy. Może jednak powinien przestać palić i wziąć na poważnie ostrzeżenie.
Może cię zainteresować także: Odkryto nową przyczynę raka płuc. Okazuje się, że nie tylko papierosy szkodzą